Die Zahntechnik als Handwerk hat in den vergangenen Jahren eine sprunghafte Entwicklung aus dem reinen Handwerk hin zu einer computergestützten High-Tech-Fertigung mit Technologien wie Laser, CAD/CAM, 3D Druck und Spezialpressverfahren
erlebt.
Auch das Spektrum der dentalen Materialen hat sich immens erweitert. Wir investieren seit Jahren in neue, hochwertige Technologien um Ihnen Zahnersatz auf dem neuesten Stand der Entwicklung anbieten zu können.
Das innovative Verfahren aus Scanner-Technologie und computergestützter Auswertung ermöglicht uns die einzigartige Gestaltung Ihres individuellen Zahnersatzes.
Die digitale Erfassung Ihrer persönlichen Modelle durch einen Hochleistungsscanner ermöglicht uns, mit einer entsprechenden Planungssoftware, die Modellierung aller gängigen Zahnersatzlösungen am Computer. Das Ergebnis ist ein Höchstmaß
an Passgenauigkeit, Ästhetik und zahnmedizinischer Funktionalität.


Die Digitale Abformung mit Hilfe des 3Shape Trios Intraoralscanners hat viele Vorteile. Sie ermöglicht ein problemfreies Abformen bei Patienten mit sehr starkem Würgereiz. Somit wird die Versorgung vereinfacht, und garantiert ein optimales
prothetisches Ergebnis. Während der Abformung kann auch jederzeit ein Fehler der Präparation erkannt und behoben werden, ohne die Notwendigkeit einer neuen Sitzung. Langzeitprovisorien können so auch heute schon völlig ohne Modellherstellung
gefertigt werden und sparen dabei Kosten und Zeit.

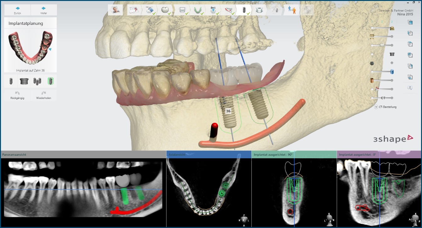
In enger Zusammenarbeit mit Chirurgen, behandelnden Zahnärzten und unserem Labor-Team ist es möglich, für den Patienten eine optimale Versorgung zu gewährleisten. Durch die sehr genaue vorherige Planung wird der chirurgische Eingriff
auf ein Minimum beschränkt und erhöht somit die Chance auf ein problemloses Einheilen der Implantate.
Zudem sind wir in der Lage durch die Kombination von digitaler Abformung, Planung und Produktion die Arbeit kostengünstig
umzusetzen.



Der 3D Drucker Varseo von der Firma Bego ermöglicht uns die Fertigung unterschiedlichster Indikationen.
Diese umfassen zurzeit die Bereiche Modellgusstechnik, Modellherstellung, Schienenproduktion und die Herstellung von
schnellen günstigen Langzeitprovisorien.
Durch den 3D Druck sind wir in der Lage schnell und umweltfreundlich durch geringen Materialeinsatz, unsere digitalen Abformungen in ein analoges Modell umzuwandeln.
Auf
Grund modernster Materialien wird es uns ermöglicht, die Fertigungsprozesse zu optimieren.